Фотогалерея мыслей
  • Разделы
    • Фотогалерея мыслей

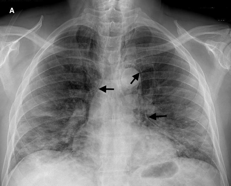
Медицинские исследования: Рентген при пневмонии COVID-19


Раздел: Фотогалерея мыслей
Популярные разделы:
Фотогалерея мыслей
Смотрите еще:
Красота японской вейгела: фотографии и идеи
Эстетика и тепло: технологии остекления фахверков
Моменты со звездой: фото Леди Гаги на торжественных мероприятиях
Экономические изменения 1990 года: ключевые моменты
Истории витков: итоги пробега авто 56
Разбор задания по математике для 5 класса
Свердловская область в фотографиях: Погодные условия
Иконы XVII века: святитель Николай и его значение
Copyright © 2010 - 2025 | Отказ от ответственности