Фотогалерея мыслей
  • Разделы
    • Фотогалерея мыслей

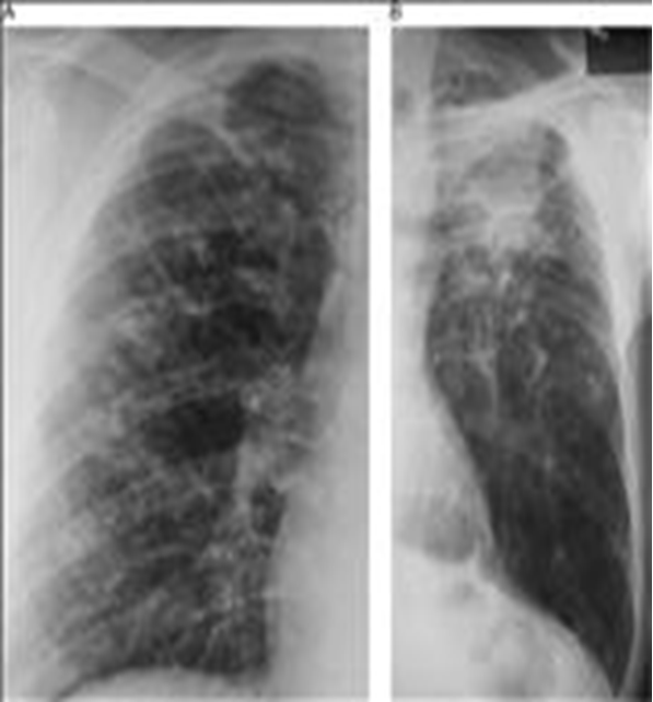
Заболевания легких: Симптомы пневмокониоза


Раздел: Фотогалерея мыслей
Популярные разделы:
Фотогалерея мыслей
Смотрите еще:
Очарование Литвы: фотопутешествие в Швентибрастис
Современное выставочное искусство: Мир мозаики в фотографиях
Творчество без границ: уникальные современные арт объекты на фото
Фотографии с мероприятий МВД: взгляд на работу Шаева
Волшебство новогодней ночи: события на Первом канале 2021
Интеллект-карта: идеи и вдохновение на тему Рождества
Евгения Симонова в роли Афони: звонкая пора советского кино
Забавные моменты с Валерой из Реальных пацанов
Copyright © 2010 - 2025 | Отказ от ответственности